テニス肘のお悩みなら
四街道市のまとばスポーツ整骨院へ
☑︎テニスのバックハンドが痛い
☑︎ゴルフスイングで肘の外側が痛い
☑︎家事をするとき肘の外側が痛い
☑︎パソコンのタイピングで肘が痛い
☑︎重いものを持つと「キーン」とした痛みが出る
テニス肘でお困りの方もお任せください!
テニスプレーヤーの3~5割の人が経験したことがあるといわれているテニス肘。
実は家事やデスクワーク、運送業などの仕事の方にも発症することが多いのをご存知でしょうか?
安静にできれば治りも早いですが、私たちの生活の中で一日中フル活用している手はなかなか安静を保つのが難しいですよね。
痛みが軽い状態だからと放置を続けていると症状が進行し、長引いてしまうケースもあり早期の治療とケアが必要です。
テニス肘とは、正式には「上腕骨外側上顆炎(じょうわんこつがいそくじょうかえん)」といいます。
テニスの方に多い症状であることからテニス肘(テニスエルボー)と呼ばれています。
ですが、実際にはスポーツをしている方だけでなく、仕事や日常動作が原因で発症する患者さんも多くいらっしゃいます。
どの部分に痛みが出るの?
この〇のポコッと出ている骨付近の部分に痛みがでるものです。
中指伸展テスト
中指を上から押さえ抵抗をかけます。その抵抗に対して中指を上に持ち上げるように押します。
この時肘に痛みが出たら陽性です。
チェアーテスト
肘を伸ばしたまま、椅子を矢印の方向に持ち上げます。
この時痛みが出たら陽性です。
スポーツで起こる痛みの原因
ラケットでボールを打つ時の衝撃(インパクト)は手首から伝わり、肘の付け根の腱にまで及びます。
テニスプレーヤーに発症が多いのは、「ボールを打ち返す」という同じ動作を何度も繰り返し行うことで、ストレスを受け続けた腱の付け根の筋肉が炎症を起こしてしまうため。特にバックハンドの時に強い痛みを感じます。
週3回以上でテニス肘の発症頻度が上がるという報告があるように、発症の多くは使い過ぎ(オーバーユース)がほとんどですが、まだ経験の浅い初中級者の場合、ラケットの正しい面にボールを当てることができないために発症するケースや、ラケットの材質やガットの硬さ、衝撃の吸収性などが関係いることも多いです。
またテニス以外にもゴルフのフェード打ちやアプローチショット、バトミントンのバックハンド、卓球のカット打ちなどの手の外側の筋肉を酷使する打ち方、道具の芯で打つ使い方が出来ていないと痛める可能性が多くなります。
日常生活で起こる痛みの原因
スポーツ以外でもデスクワーカー、重い荷物を運ぶ運送業の方や、料理人、大工などの手首を良く使う仕事が原因で発症する事も多くあります。
タイピング、重いものを引っ張り上げる、重い鍋を振る、ハンマーを振るなど、日常的に腕に負担のかかる動作を繰り返し行うことで肘に慢性的な疲労がたまり、腱の炎症が起こります。
症状が進行するとコップが持てない、ペットボトルの蓋が開けられない、ドアノブを回せないなどの強い痛みを伴うこともあり、日常生活にも大きな支障をきたすようになります。
テニス肘は若いうちに発症することは少なく、30代~50代以降になると発症が多くなります。
これは、年齢が上がるにつれ少しずつ腕の筋力が低下することや、肘の腱の強度も落ちてくることが原因と考えられています。
また、テニス肘は性別に関係なく発症しますが、女性は筋力が弱いことや、家事などで腕を使う動作が多いことから、特に中高年の主婦の方の発症が多く見られます。
まずどこを痛めているのか?なにで痛いのかをしっかりと確認しましょう。こういった状態把握をすることで治療計画を明確にすることができます。
当院で施術、トレーニングを受けてみませんか?
痛みをごまかして無理して生活するのをやめませんか?
早期に痛みを改善し、楽しくスポーツをしませんか?
痛みでやりたいことが出来ない・・・など苦しい時間を少しでも短くし、早期に楽しく過ごせるお手伝いをしていきます。
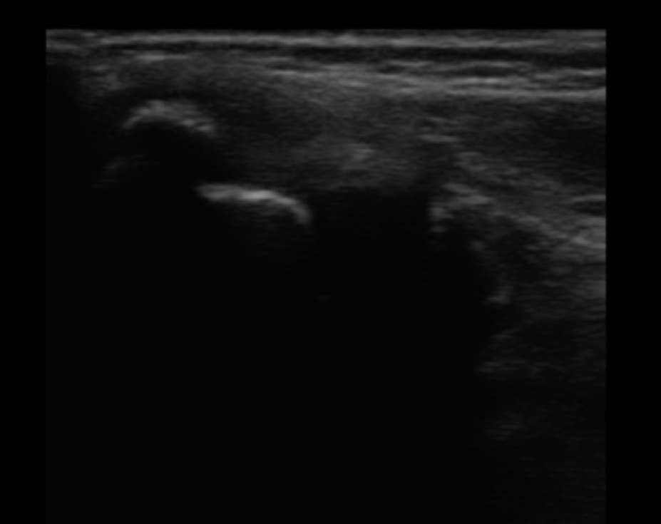
① 超音波エコーによる画像検査
当院では、超音波エコー診断装置を取り入れているので骨、靭帯、筋肉、軟骨の状態の把握出来ます。どの部分の痛みなのか、どのくらいの治療期間なのか、改善状況もしっかり確認出来るので治療計画が明確にたてられます。
また、重傷の場合や手術が必要な場合などはしっかりと専門機関への受診を勧めますのでご安心ください。
② 最新の医療機器により早期痛み改善
まず痛みを取り除くには早く炎症を抑えること、肘から手首の筋肉の緊張を取り除くことが大切です。
当院ではプロ野球選手やWBC(ワールドベースボールクラシック)で使われた、素早く炎症を抑え治癒を促進させる最新機器や、筋肉を素早く緩める超音波治療機器が備わっています。
患者様の状態に合わせて使い分け痛み、筋肉の緊張を早期に取り除きます。
③ 捻れに対するバランス矯正、可動性改善の施術
しっかりと体の捻じれ歪みを確認し、うまく使えていない関節、筋肉の矯正を手技で改善させていきます。特にテニス肘は肩甲骨や胸郭の可動域、対側の股関節の可動域が大切になります。
肘が痛いからと言って肘だけマッサージしていても改善してきません。
しっかりと奥に隠れている原因を探し出し安全に治療を行います。
④ 正しい体の使い方、連動性を意識したトレーニング
上記で話したように、体がうまく使えないから肘、手首に負担がかかります。動作不良を改善し体を正しい体の使い方を練習していきます。
テニスでは、体の連動性を使った体の捻りやしなりから正しいフォームで打てるようになります。必要な可動性、股関節や胸郭の使い方を伝えていき、しっかりと再発しない体になるまで治療×トレーニングをすることが必要なのです。
⑤ セルフケアの指導
自宅では何をしたらいいのかわからない・・・という方も多くいらっしゃいます。いつもの癖で悪い体の使い方や姿勢に戻してしまうと意味がありません。
セルフストレッチや簡単なトレーニング、日常生活で気を付けるポイントなどを説明していきます。
Facebook最新情報
店舗所在地
| 〒284-0005 |
|---|
| 千葉県四街道市四街道1-20-2 モンフレール四街道A棟1-2 |
電話番号
| 043-308-3261 |
|---|
営業時間
| 月曜・火曜・木曜・金曜 9:30~12:30 15:30~21:00 |
|---|
| 水曜 9:30~12:30(事前予約のみ) 15:30~21:00 |
| 土曜 9:30~15:00(それ以降は事前予約のみ) |
| 日曜 事前予約のみ |
|---|
| 祝日 休み |
