シンスプリントの痛みでお悩みなら
四街道市のまとばスポーツ整骨院へ

☑︎ジャンプやランニングの時にすねが痛い。
☑︎走ったあとジンジンとすねが熱く痛い。
☑︎痛みが強くなってきて運動を続けてもいいか心配。
シンスプリントを早期改善しませんか?
シンスプリントとはハードな練習やランニングなどによるオーバーユースから起こるすねの内側の痛みです。

この部分に痛みが出ます。
過酷な走りのメニューでスネに痛みが出て全力では走れない。
手を抜いてないのに監督やコーチには手を抜いて走っているように見えてしまいレギュラーに選ばれない。
そんな思いをしていませんか?
高校時代の僕もそのひとりでした。
そんな思いを来てくれる子供たちにさせたくありません。
早く全力で走れるよう治療しませんか?
シンスプリントを治すには必ず治療しなければならないキーポイントがありるのです。
そこを治療しないと症状は改善されません。
なかなか改善されない人はその2つのキーポイントがしっかりと治療されているのか。を考えてみるとよいでしょう。
まず、このような症状があったら要注意です!!

☑朝ベッドから立ち上がる一歩目が痛い。
☑座っているだけなのにジンジンと常に痛む。
☑痛みの出る範囲が局所的になり激痛。
このような症状がある方は炎症が強いので疲労骨折も疑われます。
早急な治療をおすすめします。
シンスプリントは走る、ジャンプする競技に多く発症します。
原因には、
合宿やオフあけの急激に増えた練習量、スパイクの形やコンクリートなどの地面の硬いところを走るなどで負荷が多くなることです。
さらに
悪い走り方をしていると発症してしまう確率が上がってしまうのです。
しかし
同じ練習をしているのにシンスプリントになる人、ならない人がいます。それはなぜでしょうか?
それはシンスプリントにはとても重要なキーポイントになる部分があるのです。
そのキーポイントとは大腿筋膜張筋の緊張とかかとの傾きです。

まず、大腿筋膜張筋とは、股関節の外側にある筋肉です。
そして腸脛靭帯となり膝の外側まで伸びています。
この筋肉が緊張してしまうと股関節、膝の動きを悪くし捻じれた足の使い方をしてしまいます。

そして、かかとの向きではこの図の右側の過回内足は要注意です。
過回内の足になってしまうと、土踏まずがつぶれてしまい、着地時の衝撃をうまく吸収できずに骨や筋肉にたくさんの負荷を与えてしまうのです。
一見スネの痛みと関係ないように思われますが良い走り方をし、地面からの衝撃を吸収して足への負荷を減らすためにも、痛い場所ばかりマッサージや電気で治療するのではなく、このキーポイントをしっかり治療することが必要なのです。
まとばスポーツ整骨院のシンスプリント施術
このキーポイントが改善されないと悪い走り方が変わらずになかなか治らない、または練習を休んで一時的に痛みが引いても再発を繰り返してしまうことになってしまうのです。
当院ではこの二つのキーポイントをしっかりと治療し、シンスプリントを改善させていきます。
むやみに患部をマッサージし、炎症を強めたりしません。
そのための当院で行うシンスプリント治療とは以下の手順で行います。
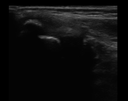
①しっかりとした画像検査

まず超音波エコーで画像診断を行い、炎症の程度、腫れの状態、疲労骨折を起こしていないかなどのチェックをしっかりと行い、練習を休まなければいけないのかなどの判断や改善までの治療計画を考えていきます。
②最新機器での痛みの減少、治癒促進

痛みが出ている部分は炎症が出ています。
その部分をマッサージしても炎症を強くしてしまい悪化させてしまったりしてなかなか治らない原因になってしまいます。
当院ではオリンピック選手も使っている疼痛抑制に強い最新機器を使い、痛い場所をマッサージせずに緩め炎症を抑えていきます。
③関節・筋肉のバランス矯正

キーポイントの二つをしっかり手技によりバランスを戻し、正しい体の位置にリセットします。
④トレーニングによる柔軟性、安定性の獲得

手技による矯正を行い正しい体の位置にリセットされても、同じ体の使い方をしてしまうとシンスプリントの改善に時間がかかってしまうことや再発の可能性もあります。
そのため正しい体の使い方を覚えることが大切です。
当院では、トレーニングスペースを作り鏡の前での動作改善トレーニングも行っていきます。

Facebook最新情報
店舗所在地
〒284-0005 |
---|
千葉県四街道市四街道1-20-2 モンフレール四街道A棟1-2 |
電話番号
043-308-3261 |
---|
営業時間
月曜・火曜・木曜・金曜 9:30~12:30 15:30~21:00 |
---|
水曜 9:30~12:30(事前予約のみ) 15:30~21:00 |
土曜 9:30~15:00(それ以降は事前予約のみ) |
日曜 事前予約のみ |
---|
祝日 休み |